PFM Crown (Porcelain-Fused-to-Metal)
Proven durability • Functional strength • Reliable esthetics
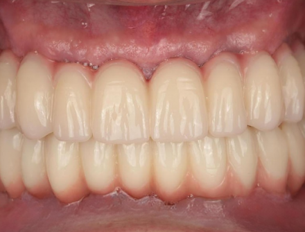
At Edentalab, our Porcelain-Fused-to-Metal (PFM) Crowns combine the high strength of a metal substructure with the esthetic appeal of layered dental porcelain. This classic restoration remains one of the most trusted options in fixed prosthodontics, offering exceptional durability, for both anterior and posterior applications — particularly for load-bearing areas and multi-unit bridges.
Technical Specifications
- Substructure Materials:
- Non-precious alloys (Co-Cr, Ni-Cr)
- Semi-precious or high noble alloys (Pd-Ag, Au-Pd) upon request
- Veneering Material: Feldspathic porcelain (ISO-compliant)
- Fabrication: CAD/CAM or traditional lost-wax metal coping with porcelain layering and glazing
- Flexural Strength: > 1000 MPa (metal core)
- Cementation: Conventional or resin-modified glass ionomer cement
- Indications: Single crowns, full-arch bridges, implant-supported restorations
- Margin Options: Metal, porcelain butt, or collarless margins depending on esthetic demand
Key Advantages
- High strength and fracture resistance — ideal for long-span bridges and posterior regions
- Compatible with multiple alloy systems for tailored requirements
- Reliable bond between metal and porcelain through oxidation layer fusion
Limitations
- Limited translucency compared to all-ceramic alternatives
- Potential for a gray gingival margin in cases of gingival recession
- Requires adequate tooth reduction for metal and porcelain layering
PRECISION ATTACHMENTS
We provide precision attachment solutions for both fixed crown and bridge and removable restorations, utilising leading systems across the global market. Each case is meticulously designed to ensure optimal fit, retention, and long-term durability. Through advanced digital workflows and refined craftsmanship, we deliver reliable, aesthetic, and high-performance outcomes for a wide range of clinical applications.







